据报道,尽管国内高血压发病率逐年攀升,而国人的知晓率及控制率仍然很低。“高血压”带来的直接致命危害之一就是“脑出血”,一旦出现脑出血,患者会很快出现意识变化,严重者可能导致昏迷甚至死亡等,这时可能需要急诊开颅手术以挽救生命。
然而对于临床上出血量相对较少(15-30ml)的中等量脑出血或脑干出血等,目前大多数仅能采取保守治疗。保守治疗意味着血肿只能依靠身体自己的机能缓慢地吸收,这样血肿得不到及时清除,长期在脑内产生过多有害物质,患者的脑内许多神经组织长期受血肿压迫,导致患者恢复慢,出现肢体偏瘫、语言功能障碍、认知障碍等,远期愈后差,甚至脑内肿胀明显者危及生命安全。那么对于脑内15-30ml范围的中等量脑出血或、小脑、脑干出血除了以往单纯的保守治疗还有没有更好的治疗方案呢?
近年来,郑州大学五附院神经外科一病区在寿记新教授、王建业副主任医师的带领下锐意进取,不断开展新技术、新业务,在省内率先引进并成功开展了新的微创治疗脑出血技术——3D打印技术辅助下微创精准穿刺治疗脑出血技术。该技术在挽救患者的生命的同时能够较大程度减轻手术创伤,取得了令人满意的效果。
据寿记新教授介绍,3D打印技术辅助下微创穿刺治疗脑出血技术作为一种新的“立体定向”脑穿刺技术,具有“个体化、三维可视化、微创化、精准化”,部分病人局麻即可操作,无需全麻,非常适合颅内15-30ml或脑内中等量的颅内血肿、小脑、脑干等位置的出血治疗。该技术通过利用3D打印软件构建出颅骨及颅内血肿的三维空间立体模型,并结合计算机辅助设计(computer aided design,CAD)技术制定个体化穿刺引导导板,进而选择理想的正中血肿中心穿刺通道,确保了手术的精准及微创,避免了开颅手术带来的二次脑损伤等不利因素,大大缩短了患者的恢复时间,减轻了患者脑神经受压症状,非常有利于患者脑神经功能的恢复,缩短了住院日,明显提高了患者的生存率及改善患者远期的生存质量。
3D打印技术通过将患者的原始CT或MRI数据导入到专用的三维处理软件,挑选手术区域颅骨、皮肤及血肿腔进行三维图像重建,对颅骨及血肿腔结构进行分析、设计正中靶心的穿刺通道,避开重要的神经和血管结构,打印出3D导板从而保证了手术的微创及精准化。
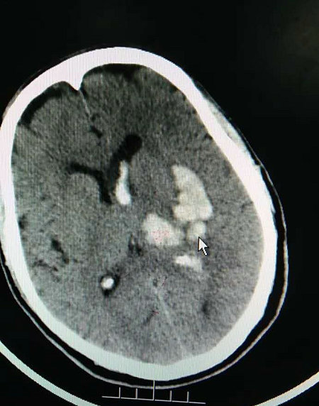
病例回顾-病例1

▲ 术前

▲ 术中


▲ 术后
病例回顾-病例2


▲ 术前


▲ 术中




▲ 术后
来源:神经外科一病区 高海东
宣传科编辑整理