家住商丘的杨女士近日感觉右侧腘窝酸沉不适,影响了行走、蹲立等日常活动,且病情逐渐加重。当地医院做彩超示腘窝囊肿,直径已达11.5cm。杨女士四处求医,医生都建议她行开放手术切除。了解病情后杨女士的心里慌了,因为她的左侧膝关节1年前因半月板损伤于当地医院治疗,术后恢复地不理想,现在右膝又要做手术,以后生活怎么办呀?
杨女士经病友介绍郑州大学五附院骨外科徐明杰副主任擅长微创处理关节疾患,立即前来就诊。徐明杰副主任热情接待患者,并安排她入院,指示管床医师张鹏飞尽快完善检查。磁共振检查提示杨女士右侧膝关节不但存在巨大囊肿,同时合并严重的骨关节炎、半月板损伤。而且左膝恢复较差的原因是出现了慢性滑膜炎,上次手术对骨关节炎未能有效处理。徐明杰副主任仔细阅片,结合查体,并请示科主任张立贵主任医师。在张主任的准确判断和技术指导下,建议为患者右膝实施“关节镜下关节清理+囊肿切除手术”,并同时为左膝进行“关节镜下翻修术”。患者对骨外科团队非常信任,同意立即手术。

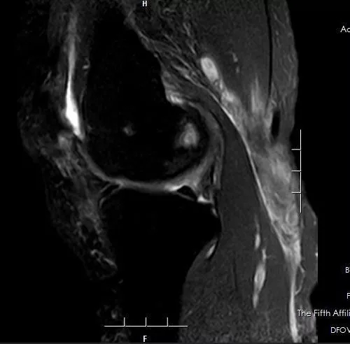
▲ 术前MRI检查巨大囊肿
检查完善后徐明杰副主任立即安排手术。术中徐主任精细操作,关节镜下切除囊肿需要侧方入路进行后室操作,具有一定难度。在完成关节清理后,建立侧方辅助小切口入路。虽然只是一个小小切口,避免了关节后侧的开放大切口,同时可以把囊壁刨除,并且打通了膝关节后室的通道,后期随着恢复,囊肿逐渐消失,该技术已达到了国内同级别医院先进水平。在进行左侧膝关节翻修时,因粘连严重,炎症反应明显,存在一定的难度。徐主任凭借高超的手术技能,耐心细心地处理完病患。术中大家积极配合,双膝手术顺利完成。

▲ 术中专心操作和辅助小切口

▲ 术中囊肿情况
术后徐明杰副主任和张鹏飞医师指导患者进行康复训练,每日查房亲自上手帮助患者活动膝关节、内推髌骨等,患者康复顺利,术后第2天即下床活动。住院期间杨女士多次表达对徐明杰副主任的感激之情,并于近日康复出院。

▲ 术后复查MRI囊肿明显缩小,随着囊壁的闭合,囊肿会逐渐消失
科普:腘窝囊肿是腘窝滑液囊肿的总称,多发生于半膜肌与腓肠肌,并常与关节相通,大多为骨关节炎引起,临床表现为关节疼痛及活动受限。
传统治疗方式有两种,第一种是开放手术治疗,为后方入路,切口较大,术中存在血管神经的风险,无法同时处理骨关节炎,留下的长疤也让患者感觉不舒服,影响关节功能。术后存在复发风险。第二种为先行关节镜下微创手术处理骨关节炎,再改变体位,将腘窝开放大切口切除囊肿,也存在手术时间长、感染率高、损伤大、恢复期长等缺点。
徐明杰副主任为杨女士设计的手术方案,不但清理了关节腔,同时切除囊肿。这样患者损失小,复发率大大降低,恢复的更快,减少下肢深静脉血栓等卧床并发症。
来源:骨外科 张鹏飞
宣传科编辑整理