家住开封兰考的郭奶奶早起后突然感觉剧烈头痛,呈爆裂样疼痛,难以忍受,休息后也不缓解,家属赶紧将郭奶奶送往兰考县医院,查头颅CT提示:蛛网膜下腔出血。当地医生很有经验,推断出血原因可能是颅内动脉瘤破裂,需紧急手术治疗,但当地医院手术条件有限,为了挽救患者生命并早一点解除患者病痛,当地医生推荐患者来郑州大学五附院神经外科一病区就诊。
入院后寿记新主任医师团队接诊,判断动脉瘤破裂出血可能性在90%以上,进一步行头颈联合CTA证实右侧后交通动脉瘤破裂出血。

CT检查提示蛛网膜下腔出血 后交通动脉瘤,子瘤形成
颅内动脉瘤相当于颅内的不定时炸弹,随时有破裂的风险。怎么排雷,治疗方案如何选择?
1.保守治疗,等待出血吸收,等待动脉瘤破口自行愈合,但颅内动脉瘤随时有再次破裂出血的风险,而且一旦二次出血,将是致命的;
2.开颅行颅内动脉瘤夹闭术,手术范围直观,更容易处理动脉瘤,但郭奶奶已82岁高龄,合并多种基础疾病,冠心病和高血压已多年,相对来说开颅手术风险极大;
3.微创行颅内动脉瘤介入栓塞术治疗,创伤小,恢复快,手术对患者身体条件的要求相对开颅手术降低,最适合。
但高龄患者的血管条件一般都很差,能否顺利建立通道成为技术上的难点。在寿记新主任医师的带领下,基于郭奶奶的身体状况,神经外科一病区神经介入团队讨论后决定优先选择创伤性较小的介入治疗。
鉴于老年人血管迂曲,有可能出现常规入路无法到达动脉瘤的可能,预案决定如果经股动脉不能完成,则考虑经桡动脉或颈总动脉入路。造影结束后如医生所料,患者的主动脉弓上血管呈“牛角弓”,指引导管不能顺利越过弓上血管,道路不通;因弓上血管弯曲度太大,考虑经桡动脉入颅也难以逾越,经桡动脉入颅的方案也被否决,怎么办呢?
为了病人,医生们急中生智想到了另一种方法,那就是经颈总动脉入路,这种入路方式比较鲜见但更加便捷,而且医院的颈动脉手术技术成熟,创伤也不大。

主动脉弓,牛角弓,弓上血管迂曲 暴露颈总动脉
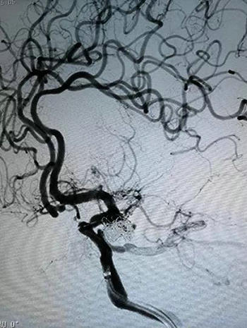
选好手术方案后就开始行动,在血管外科崔文军副主任的协助下,顺利暴露颈总动脉,预留打结线,穿刺进入颈总动脉,指引导管顺利进入颈内动脉,支架辅助行后交通动脉瘤栓塞,1小时后手术结束,排雷成功,导管退出后预留线打结,颈动脉穿刺缝合处无明显渗血,手术成功!患者很快清醒过来,顺利返回病房。经过一段时间的治疗,郭奶奶颅内的蛛网膜下腔出血也已吸收,没有致残,没有留下后遗症,整个人神清气爽,出院回家了。

支架辅助栓塞后交通动脉瘤
无独有偶,在为郭奶奶手术后的第五天,神经外科一病区用复合手术为来自信阳淮滨的73岁的李大爷做了动脉瘤治疗,疗效满意,家人表示万分感谢。

CTA,弓上血管迂曲,后交通动脉瘤 暴露颈总动脉并穿刺置鞘

支架辅助后交通动脉瘤栓塞,排“雷”成功
启示:对于不同类型的动脉瘤病人,手术方式的选择存在一定差异,有的更适合开颅手术,有的更适合神经介入,有的二者皆可;但每一个病人的病情都是独特的,对于我们来说需要帮患者选择更加适合自身情况的个体化治疗方案,就像上述病例,高龄合并各种基础疾病,耐受开颅手术的可能性小,而单纯介入治疗又面临血管通道建立的难题,怎么办,就需要我们去思考,暴露并穿刺颈总动脉对于神经外科医生来说难度不大,而且神经介入手术已经发展的非常成熟,所以将二者结合起来就完美的解决了上述难题,对于不能耐受开颅手术而常规经股动脉入路不能完成介入栓塞术的病人尤其适合这种复合手术。
科普:颅内动脉瘤多为发生在颅内动脉管壁上的异常膨出,是造成蛛网膜下腔出血的首位病因,在脑血管意外中,仅次于脑血栓和高血压脑出血,位居第三。任何年龄可发病,多数好发于40至60岁中老年女性。造成颅内动脉瘤的病因尚不甚清楚,多数学者认为颅内动脉瘤是在颅内动脉管壁局部的先天性缺陷和腔内压力增高的基础上引起,高血压、脑动脉硬化、血管炎与动脉瘤的发生与发展有关。

▲ 郑州大学五附院神经外科一病区
来源:神经外科一病区 梁威
宣传科编辑整理