近日,郑州大学五附院胸外科团队在高兴才主任带领下为八旬老人完成了胸腹腔镜联合食管癌根治术,使患者顺利摆脱了疾病的困扰。
来自安阳的李大爷,今年83岁,最近在吃饭的问题上遇到了些麻烦。2个月前开始出现吞咽困难,只能进半流食,在当地医院进行了无痛胃镜检查,发现食管中段占位,病理结果提示:鳞状细胞癌;考虑到李大爷年纪较大,又患有“慢阻肺、高血压病、糖尿病、脑梗死”等基础疾病,手术风险较大,当地医院建议保守治疗。
为了彻底解决李大爷的吃饭问题,家人通过多方咨询,了解到郑州大学五附院胸外科高兴才主任对食管癌的诊疗有丰富的经验,所以,他们抱着试一试的态度来到郑州大学五附院胸外科。
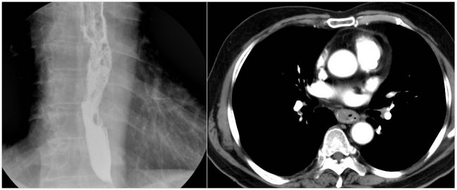
为了进一步明确诊断,评估病情,入院后邢志嵩副主任医师治疗组为患者安排了上消化道造影(图一)、增强CT(图二)等检查,明确为食管中段占位,病变较长,切片经病理科会诊提示:中分化鳞癌(图三)。

▲图一 ▲图二
▲ 图三
完善检查后,将病情、治疗方案及预后告知患者家属。患者本人及家属强烈要求手术治疗。考虑到患者高龄,基础疾病多,心肺等脏器储备及代偿功能差,如选择传统的开胸手术,伤口长达15-20厘米,对患者创伤较大,术后易出现心肺、肝肾、脑等并发症,严重时危及患者生命。经过科室医师讨论,认为患者目前心肺功能可耐受全麻手术,但术后风险较大,高兴才团队决定采取微创手术,即胸腹腔镜联合食管癌根治术,经胸部和腹部数个小切口,对患者创伤小。

▲ 微创手术切口(胸部) ▲ 常规开胸手术切口
经充分术前准备后,于2018年6月26日在手术室胡强夫主任团队精心麻醉配合下行“胸腹腔镜联合食管癌根治术”,手术过程顺利。术后第1天,患者即出现咳痰无力及胸闷、气喘症状,经医护人员拍背,应用排痰机帮助,鼓励患者咳嗽、咳痰等精心治疗和护理,李大爷逐渐恢复,看着李大爷一天天的好转,他的家人的脸上也终于露出了笑容。最终,经过医护人员的护理,李大爷顺利康复出院,出院当天,李大爷紧紧握着高主任的手,说:“谢谢你,高主任,感谢胸外科全体医护人员”。看着病人顺利康复,高主任也露出了欣慰的笑容。本例手术的成功标志着郑州大学五附院胸外科在高龄食管癌的微创手术上又上新的台阶。
来源:胸外科 王鑫
宣传科编辑整理