近日,郑州大学第五附属医院肝胆胰腺外科陈艳军主任医师团队,凭借精湛的微创技术与丰富的临床经验,成功为一名16岁男性患者实施了腹腔镜保脾胰体尾切除术(Kimura术式)。在完整切除肿瘤的同时,完美保留了脾脏及正常胰腺组织,术中出血仅40ml,实现了“切除病灶、保留功能、微创快速康复”的理想效果。
花季少年反复腹痛,一查竟是胰腺占位
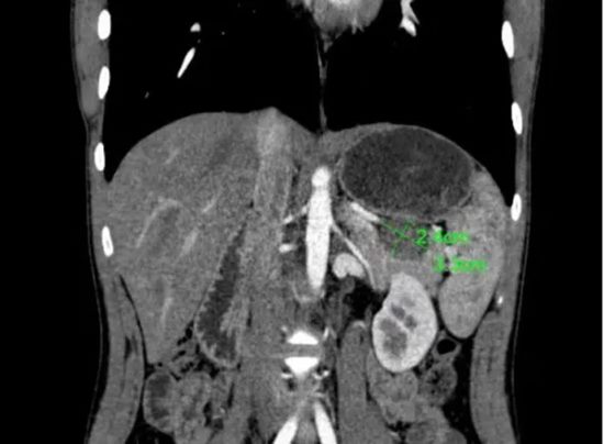
患者小何年仅16岁,正值青春年少,却长期被反复腹痛困扰。家人起初以为只是普通肠胃不适,直至当地医院检查提示“胰腺占位”。这一结果如晴天霹雳,让全家人陷入巨大的震惊与焦虑之中。面对年幼的孩子和未知的病情,父母既心疼又惶恐——既担心肿瘤的凶险,更害怕治疗会影响孩子今后的生长发育与生活质量。全家迫切寻求既能有效治疗、又能尽可能守护孩子未来的诊疗方案。
经多方打听,患者及家属了解到郑州大学第五附属医院肝胆胰腺外科陈艳军主任医师团队在胰腺肿瘤治疗方面拥有扎实的理论功底与丰富的手术经验。为了争取更好的治疗,他们专程来到医院。
精准施策,为少年未来全力护航
了解患者及家属的诉求后,陈艳军主任医师团队认真研读影像学资料,发现肿瘤位于胰腺尾部,紧邻脾门,与脾动脉、脾静脉关系密切。团队经过多方考量、反复讨论,最终决定为患者实施保留脾脏动静脉的保脾胰体尾切除术(Kimura手术)。

手术方式虽已确定,但对于一名16岁的孩子而言,一次胰腺手术不仅关乎生命安全,更关乎未来数十年的生长发育与生活质量。肿瘤紧邻脾脏、紧贴脾动静脉,病灶位置险要,解剖层次复杂,操作空间极小。稍有不慎,便可能损伤血管,导致术中出血或被迫切除脾脏。
毫米级精细操作,在“刀尖上跳舞”
为了实现保脾、保功能的目标,手术中的每一次分离都轻柔精准,小心翼翼地推开脆弱的脾动静脉血管;每一步切除都稳准把控,仅切除病变胰尾及肿瘤,最大限度保留正常胰腺组织。全程视野清晰、操作稳准,细致到每一根血管、每一层组织,如同在“刀尖上跳舞”。

手术成功!出血仅40ml,保住了脾脏和功能
最终,陈艳军主任团队以极致细致、极致轻柔、极致保功能的手术态度,圆满完成了腹腔镜保脾胰体尾切除术(Kimura术式)。术中出血仅40ml,不仅完整切除肿瘤,更完美保留了脾脏及其血供、保留了大部分胰腺功能,实现了真正意义上的保器官、保功能、保未来。

术后关怀,每一天的守护与鼓励
回到病房后,陈艳军主任每日多次亲自查房,对这位年轻患者格外牵挂。他仔细查看伤口,轻声询问疼痛情况,耐心安抚情绪,认真监测生命体征及引流情况,反复确认胰腺与脾脏功能恢复情况,细致叮嘱饮食、活动注意事项。每一个细节都反复交代、再三确认,用温和而坚定的话语鼓励孩子,帮助他与家人消除紧张与担忧。
术后,患者也极度配合治疗。胰腺手术从来都不是小手术,术后难免出现疼痛、腹胀等不适。对年轻的孩子而言,这堪称人生中的一道坎。但在郑州大学第五附属医院肝胆胰腺外科陈艳军主任医师团队的共同努力下,患者成功迈过了这道坎。相信未来,有更美好的生活等待着这位少年。
手术的成功开展,不仅标志着胰腺外科微创技术日臻成熟,更彰显了团队在复杂胰腺肿瘤、青少年胰腺疾病诊疗领域的专业实力与人文担当。
来源:肝胆胰腺外科 陈艳军
党委宣传统战部编辑整理