胰腺癌,素有“癌王”之称。它起病隐匿,早期症状不典型,可能仅是上腹隐痛,极易被误认为胃病。许多患者确诊时已属晚期,失去手术切除机会。
然而,对于部分局部晚期胰腺癌患者,可采用纳米刀消融(不可逆电穿孔技术) 的治疗方式,为治疗带来新的曙光。
什么是纳米刀?
纳米刀消融,又名不可逆电穿孔(IRE),是一种用于治疗实体肿瘤的新型治疗方法。
1.非热消融疗法:相比于微波消融或射频消融,纳米刀并不产生热量,也就不会对组织产生热损伤;
2.选择性消融:此外纳米刀还具有对组织“选择性消融”的特点,在破坏肿瘤细胞的同时不会破坏大血管、神经、胆道、肠道等其他重要结构;
3.诱导细胞凋亡而非“坏死”。纳米刀术后可以激发体内抗肿瘤免疫反应,可与其他辅助治疗(化疗等)起协同作用。
绝境中的寻找:一位37岁青年的求生之路
37岁的小陈,因恶心呕吐、腹胀查出胰腺中分化腺癌。肿瘤位置凶险,周围组织侵犯严重,已经引起十二指肠梗阻,无法进食。外院专家判断已无法手术,生存期可能仅剩三个月。
希望渺茫,但小陈和家人没有放弃。多方查询后,他们慕名来到郑州大学第五附属医院肝胆胰腺外科,找到了陈艳军主任团队。
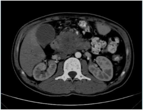
初到医院时,小陈的病情确实棘手。入院CT、MRI提示:胰头颈部胰腺癌并周围侵犯;肿瘤已经包绕侵犯了几支重要血管:门静脉主干、脾静脉、胃左动脉、肠系膜上动静脉、下腔静脉,并且可见病灶周围及肠系膜根部多发淋巴结。陈艳军主任仔细评估后,制定了“先调整,后消融”的策略:先行全身化疗联合免疫治疗,争取控制肿瘤发展,为后续治疗创造可能。

在团队的精心治疗与呵护下,奇迹出现了。多次行化疗和免疫治疗后,复查CT显示肿瘤明显缩小!时机成熟,陈主任当机立断:可以行纳米刀消融术!
精准“围剿”,成功消融
经过肿瘤科、营养科、病理科等多学科团队(MDT)周密讨论与术前准备,手术如期进行。
术中,在超声的精确引导下,陈艳军主任团队巧妙避开重要血管与胆管,将纳米刀探针精准布控于肿瘤区域。通过多次调整角度、实施多点消融,实现了对肿瘤及其浸润区域的充分毁损。手术过程顺利,患者生命体征平稳。


术后,小陈恢复良好,未出现胰瘘、出血、感染等严重并发症。影像复查确认肿瘤已完全消融。在陈艳军主任团队及林磊护士长护理团队的精心照护下,他精神状态焕然一新,重拾了生活的信心。陈艳军主任诊疗团队将对其进行长期随访,持续关注后续情况。
来源:肝胆胰腺外科 陈艳军
党委宣传统战部编辑整理