眼睛被誉为“心灵的窗户”,拥有一双健康明亮的眼睛是许多人的愿望。然而,随着糖尿病发病率的不断攀升,糖尿病视网膜病变(DR)患者也逐渐增多,这一现状正悄然改变人们的健康认知。
据统计,糖尿病患者中大部分合并糖尿病视网膜病变,这一并发症在我国糖尿病患者中普遍存在。
根据《我国糖尿病视网膜病变临床诊疗指南(2022年)》,糖尿病视网膜病变分为非增生型和增生型两大类,每类各包含三个发展阶段:
非增生型DR:
Ⅰ期(轻度):仅有毛细血管瘤样膨出;
Ⅱ期(中度):出现视网膜出血、硬性渗出或棉绒斑;
Ⅲ期(重度):每象限视网膜出血点≥20处,或至少2个象限静脉呈“串珠样”改变,或至少1个象限存在视网膜内微血管异常。
增生型DR:
Ⅳ期(增生早期):出现视网膜或视盘新生血管,若范围扩大或合并出血,则属“高危PDR”;
Ⅴ期(纤维增生期):出现纤维血管膜,可伴视网膜前出血或玻璃体积血;
Ⅵ期(增生晚期):发生牵拉性视网膜脱离,可合并纤维血管膜及出血。
下面为大家介绍两位糖尿病视网膜病变患者的治疗与恢复情况:
病例一
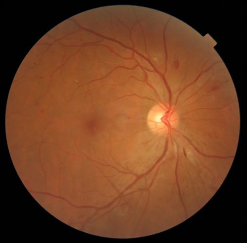
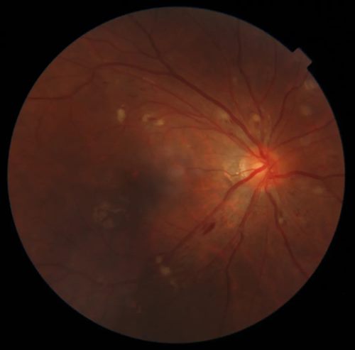
一位36岁男性,糖尿病史1年。2023年6月26日初诊时右眼底可见片状出血。经过系统治疗与血糖控制,2024年3月23日复查显示右眼DR明显好转。


病例二
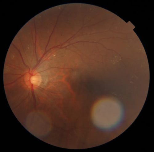
一位29岁男性,糖尿病史1.5年。2023年6月25日诊断为“双眼重度非增殖性糖尿病视网膜病变(Ⅲ期)”。


在规范干预与定期随访下,2024年7月15日复查见双眼病变程度显著改善。


糖尿病视网膜病变的治疗需依据具体分期制定个体化方案。专家强调,糖尿病患者应每年至少进行一次眼底筛查,努力实现DR的“早发现、早诊断、早治疗”。
依照《中国2型糖尿病防治指南(2020年版)》,初诊糖尿病患者应完成无创眼底检查,并保持每年复查,以及时发现病变并干预,争取良好预后。

那么,如何有效控制糖尿病并发症?
指南建议糖尿病患者应做到:
每3个月测量体重、腰围和臀围;
在医生指导下规范进行自我血糖监测,血糖控制不理想者每3个月检测一次糖化血红蛋白,控制良好者每6个月检测一次;
长期服用二甲双胍的患者,建议每年检测一次维生素B12水平;
已确诊视网膜病变、肾病或神经病变的患者,应每年进行相应专项检查。
只有坚持规范筛查与综合管理,才能真正做到延缓疾病进展,拥抱更高品质的生活。
来源:内分泌科 翟红娟
党委宣传统战部编辑整理