近日,一名53岁男性患者因不明原因左肾萎缩半年,来郑州大学五附院血管外科诊治,完善检查,终揭开谜底:慢性胸主动脉夹层。术前“奇思妙想”+术中“神来之笔”,为患者成功解除病患。
术前CTA提示B型慢性胸主动脉夹层,夹层内膜片纤维化程度高、假腔明显扩张,真腔全程缩窄,左肾真腔供血,右肾假腔供血,因真腔血流用量少,导致左肾萎缩。

▲ 图1:左肾动脉真腔供血

▲ 图2:右肾动脉假腔供血
B型胸主动脉夹层腔内治疗已是郑州大学五附院血管外科的常规手术,但此例患者,若贸然行覆膜支架植入封堵近端破口,则会造成健侧-右肾缺血萎缩可能,近远期导致肾衰竭可能。术前,血管外科专家王兵副院长带领崔文军副主任、安乾、王颖、吴斐、李阳、王广华等医师巧妙构思,精细设计,制定了详细的手术方案:1.寻找近肾平面真假腔破口,扩大瘘口面积,增加真腔向假腔供血,避免右肾衰竭;2.近端行胸主动脉夹层覆膜支架植入,封堵假腔破口,全程扩张真腔管径。手术难点在于能否成功超选近肾平面真假腔破口,并扩大瘘口。

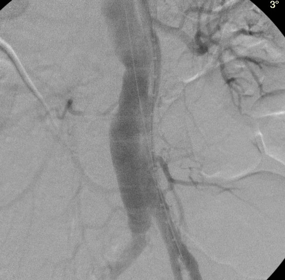
▲ 图3 小球囊扩张瘘口

▲ 图4 大球囊扩张瘘口

▲ 图5 近肾平面瘘口扩张满意
手术如期进行,经左上肢肱动脉穿刺,导丝途径左锁骨下动脉、胸主动脉夹层近端破口、假腔,在肾动脉平面附近成功经真假腔破口超选至腹主动脉真腔远端。并应用球囊、导管等扩大破口面积。这一步可谓之“神来之笔”,失败则手术无法进行,成功则双肾功能均得以保全。最后植入胸主动脉覆膜支架及限制性支架各1枚,复查造影提示近端瘘口封堵良好,真腔管径改善,双肾动脉灌注良好。术后复查CTA及肾功能提示双肾形态及血供良好,肾功能正常。

▲ 图6 术后复查CTA提示双肾动脉显影良好
科普:胸主动脉夹层腔内治疗(thoracic endovascular aortic repair,TEVAR)因创伤小且中远期治疗效果显著,已被临床逐渐用于B型主动脉夹层(aortic dissection,AD)的治疗。不同于开放性手术中替换病变血管,缝合撕裂的内、外膜并恢复远端真腔血供,TEVAR通过修复夹层裂口、阻断假腔内血流,实现假腔血栓化并达到动脉重塑的目的。通过对病理生理的研究和TEVAR治疗效果的分析,B型AD被进一步划分为急性期、亚急性期和慢性期3个时期。TEVAR在B型AD急性和亚急性期的应用已得到共识,然而在慢性期的治疗仍存在争议。以β受体阻断剂为基础的药物治疗(optimized medical treatment,OMT)曾是慢性B型AD的经典疗法,但TEVAR对慢性期患者表现出优于单独OMT的中远期效果,被逐渐尝试应用到慢性期的治疗。近年来,临床对慢性期B型AD的TEVAR干预时机和方式不断探索,以期进一步改善预后。TEVAR也从最初简单的植入人工血管内支架修复近端裂口发展为复合支架(覆膜支架与裸支架)放置、同时修复远端裂口以扩大真腔、促进假腔血栓化等根治理念。随着技术和设备的不断改进,目前TEVAR正逐渐取代开放性手术在AD治疗中显现出主导地位。以β受体阻断剂为基础控制血压的OMT曾为慢性B型AD的独立疗法。但随访发现,即使积极地采用OMT,仍有25%~30%的患者4年后发展为动脉瘤,且5年生存率为50%~80%,因此OMT仅仅延缓了动脉瘤的形成。传统开放性外科手术对患者全身状况的基础条件要求高,监护和住院时间较长,并发症通常极为严重,相对优势是远期效果较为确切,对解剖形态的要求不高。所以开放性外科手术治疗主要用于年轻、伴有马方综合征等结缔组织疾病或不适于TEVAR的患者。TEVAR则具有创伤小、手术成功率高和围术期病死率明显低于开放性外科手术的优点。有随访研究显示,TEVAR在动脉重塑、假腔血栓化、重构以及患者预后等方面优于单纯OMT。但TEVAR对解剖要求较高,如锚定区长度不足需通过杂交、“烟囱”技术等方式(覆盖重要分支)进行拓展、慢性期主动弓角度变大影响支架植入等,这使TEVAR应用受到限制。目前对于慢性胸主动脉夹层手术方式的选择仍无定论,需具体情况具体分析,为患者制定最优化诊治方案。
来源:血管外科 吴斐 郭鹏
宣传科编辑整理