近日,郑州大学五附院胃肠甲状腺外科完成一例危重复杂肠瘘手术。
患者为中年男性,半月前因腹部及下肢外伤,至骨盆粉碎性骨折、左下肢骨折,于当地县医院行“下肢骨折固定术”。术后下肢功能逐渐恢复,但不幸再次突然降临,术后2周患者左侧髋部腹壁红肿,患者腹胀、腹痛逐渐加重,来院1天前左髋部红肿处破溃,流出大量肠液,疑似肠瘘。骨盆骨折尚未痊愈,又添新问题,患者及家属精神压力极大,陷入深深绝望之中,痛苦不堪。在得知郑州大学五附院胃肠甲状腺外科在肠瘘治疗方面具有丰富的经验后,该县医院经治医师第一时间联系胃肠外科崔小兵主任,5月26日中午1时,患者转至郑州大学五附院,科室立即开启绿色通道,安排专科医师、护士陪同急诊行“窦道造影”及“腹部CT”等相关检查,诊断为:1.骨盆粉碎性骨折,2.左腹壁创口疝、小肠嵌顿并肠梗阻,3.疝出小肠瘘。

专科医师陪同行窦道造影检查

窦道造影提示造影剂进入肠腔,提示肠外瘘

小肠疝出右侧腹壁皮下,合并肠梗阻

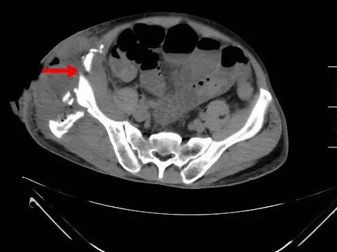
右侧骨盆粉碎性骨折
崔主任认为,该病例较为罕见,因骨盆骨折至腹腔内腹壁破裂缺损,小肠自缺损处疝出腹壁外,嵌顿引起肠梗阻,并出现肠瘘,可能系碎骨片刺破疝出肠管所致。如不解决腹壁嵌顿疝,患者无法解除肠梗阻;如不解决肠瘘,感染会加重,引起腹膜炎并有可能引起骨盆处骨髓炎,影响患者骨折愈合甚至危及生命。综合评估患者病情后,毅然决定急诊手术,一并解决肠瘘及肠梗阻,同时请骨科张立贵主任会诊,协同手术处理骨盆骨折处创口。
5月27日上午9时,由崔小兵主任医师主刀、郭魁元副主任医师作为助手,在麻醉科、手术部的大力配合下剖腹探查。术中可见腹腔有约1000ml黄色稍混渗液,升结肠外侧结肠沟侧腹壁可见一缺损,回肠嵌顿于破口疝出皮下。此段嵌顿小肠近端梗阻,肠管弥漫性扩张,肠壁增厚,还纳小肠后,见腹壁有一约6cm大小破口,与皮肤溃破处相通,内可触及髂骨棘部分断裂及多个锐利骨碎片。疝出小肠约50cm,伴大量脓苔,且伴有血运障碍,可见一0.5cm破口,有肠液溢出。告知患者家属病情及手术方案征求家属同意后,决定行"肠瘘段小肠切除,回肠-横结肠吻合。关腹后,由骨科何江涛、王延明医师行“骨盆右侧粉碎性骨折局部坏死感染脓肿切开、扩大清创修复、筋膜组织瓣成形术”,术后在护理部精心护理下,患者恢复很快,已于6月9日康复出院。患者家属出院时激动的说,“骨折术后遭遇肠子破裂,原本觉得整个世界都塌了,经过你们的手术治疗,这么快就康复出院,让我们重获新生,由衷地感激郑州大学五附院。”

肠瘘段小肠标本,止血钳指示处为瘘口位置

术中检查提示升结肠外侧腹壁缺损

骨科行骨盆右侧粉碎性骨折清创

骨科清创,可见碎骨片及坏死组织

崔小兵主任在术中
崔小兵主任指出:肠外瘘是腹部外科最为严重并发症之一,死亡率仍然高达6.2%~17%。以往肠瘘的治疗要经过引流、造瘘、3-6个月后才行肠瘘的确定性手术,时间较长,费用极高。近年来,随着手术技术及治疗手段的不断提高、肠内营养的开展,使得早期确定性手术一次解决肠瘘成为可能,大大缩短了治疗时间,减少了患者医疗费用。该例患者就得益于早期行确定性肠瘘手术,使患者在2周得以康复出院。
郑州大学五附院胃肠外科是在省内最早开展肠瘘早期确定性手术的医院之一,已有十余年的丰富临床经验,手术技术及治疗手段日渐成熟,目前已救治了近20余例患者。成功救治如此重症的复杂多发伤合并肠瘘患者,体现了胃肠甲状腺外科在复杂肠瘘的治疗方面上了新的台阶。
来源:胃肠·甲状腺外科 罗昭锋
宣传科编辑整理